본문 바로가기
기타

잇몸치료 : 잇몸 내려앉음

by 또유디닝 2024. 11. 8.
반응형

목차
1. 잇몸 내려앉음이란 무엇인가요?
2. 잇몸 내려앉음의 주요 원인
3. 스케일링을 통한 잇몸 내려앉음 예방
4. 치근 활택술과 잇몸 내려앉음
5. 잇몸 이식 - 심각한 잇몸 내려앉음의 해결책
6. 잇몸 재생 치료와 잇몸 내려앉음 회복
7. 잇몸 내려앉음 예방을 위한 생활 습관
8. 잇몸치료 후 관리의 중요성
9. 잇몸치료 후 구강 위생 관리 - 음파전동칫솔 추천


안녕하세요.

오늘은 잇몸 내려앉음의 원인과 해결방안

그리고 잇몸치료는 어떤 치료를 하는지에 대해 자세히 설명 드리겠습니다.

 

잇몸치료 : 잇몸 내려앉음의 원인 해결방안 

 

잇몸치료 : 잇몸 내려앉음이란 무엇인가요?

반응형

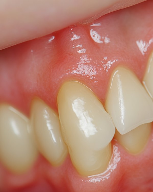
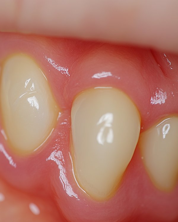
잇몸 내려앉음은 치아를 둘러싼 잇몸이 점점 아래로 내려가면서 치아 뿌리가 노출되는 상태를 의미해요. 잇몸 내려앉음이 진행되면 치아가 민감해지고 외부 자극에 쉽게 노출되며, 심각한 경우 치아 상실로 이어질 수 있어요. 이를 예방하고 개선하기 위해 잇몸치료 : 잇몸 내려앉음이 필요해요.

잇몸치료 : 잇몸 내려앉음의 주요 원인

반응형

잇몸 내려앉음은 여러 원인으로 발생할 수 있어요. 잦은 칫솔질로 인한 잇몸 마모, 불규칙한 구강 위생, 유전적인 요인 등이 잇몸 내려앉음의 주된 원인입니다.
특히 세균이 잇몸에 축적되면 염증이 생기고, 염증이 잇몸을 약하게 만들어 잇몸 내려앉음을 가속화할 수 있어요.
따라서 잇몸치료 : 잇몸 내려앉음을 통해 염증을 줄이고 잇몸 건강을 유지하는 것이 중요해요.

잇몸치료 : 스케일링을 통한 잇몸 내려앉음 예방

반응형

스케일링은 잇몸치료 : 잇몸 내려앉음을 예방하기 위한 첫 번째 단계에요.
스케일링을 통해 치아와 잇몸 사이에 쌓인 치석을 제거하여 잇몸 염증을 줄이고, 건강한 잇몸을 유지할 수 있어요.
잇몸 염증을 예방하는 데 있어 잇몸치료 : 잇몸 내려앉음에 효과적이에요.

잇몸치료 : 치근 활택술과 잇몸 내려앉음

반응형

치근 활택술은 치아 뿌리 표면을 매끄럽게 하는 잇몸치료 : 잇몸 내려앉음의 한 방법이에요.
이 시술은 치아 뿌리에 세균이 쉽게 붙지 않도록 도와주며, 염증을 줄이는 데 효과적이에요.
잇몸 내려앉음이 시작된 분들에게 추천하는 잇몸치료 방법 중 하나랍니다.

잇몸 이식 - 심각한 잇몸 내려앉음에 대한 해결책

반응형

심각한 잇몸 내려앉음이 발생한 경우에는 잇몸 이식이 필요할 수 있어요. 잇몸 이식은 잇몸이 약해진 부위에 새로운 잇몸 조직을 덮어줌으로써 잇몸이 다시 건강해지도록 도와주는 잇몸치료 방법이에요. 이 과정을 통해 치아 뿌리를 보호하고 민감한 증상을 줄일 수 있어요.

잇몸 치료로 잇몸 내려앉음 회복

반응형

잇몸 재생 치료는 손상된 잇몸 조직을 회복시키기 위한 치료로, 심각한 잇몸 내려앉음 문제를 해결하는 데 도움이 됩니다. 잇몸 재생 치료를 통해 잇몸 조직의 회복을 촉진하고, 건강한 잇몸 상태를 되찾을 수 있어요.
특히 염증이 깊거나 조직 손상이 클 경우, 잇몸치료 : 잇몸 내려앉음에 매우 효과적이에요.

잇몸 내려앉음 예방을 위한 생활 습관

반응형

잇몸 내려앉음을 예방하기 위해서는 올바른 구강 관리 습관을 유지하는 것이 중요해요.
강하게 칫솔질하는 습관을 피하고 부드러운 칫솔을 사용하는 것이 좋습니다.
정기적인 스케일링과 함께 매일 잇몸치료 : 잇몸 내려앉음 효과를 위해 구강 청결을 유지하는 것이 필요해요.

잇몸치료 후 잇몸 내려앉음 관리의 중요성

반응형

잇몸치료 : 잇몸 내려앉음을 받은 후에는 구강 관리를 철저히 해주는 것이 중요해요.
치료 후에는 세균이 다시 쌓이지 않도록 음파전동칫솔을 사용하는 것이 도움이 됩니다.
잇몸에 쌓인 바이오필름을 효과적으로 제거하여 잇몸을 보호하고 건강을 유지할 수 있도록 도와줍니다.

잇몸치료 후 잇몸 내려앉음 구강 위생 관리

잇몸치료 : 잇몸 내려앉음 후 구강 위생을 유지하는 데 음파전동칫솔이 큰 도움이 됩니다. 

특히 음파미세전류칫솔은 미세한 진동을 통해 치아와 잇몸 사이에 쌓인 세균막을 효과적으로 제거해 줍니다. 
이로 인해 잇몸이 다시 건강을 되찾을 수 있고, 잇몸치료 후 유지 관리에 아주 효과적이에요. 
전문가들은 하루 2회 음파전동칫솔 사용이 잇몸치료 : 잇몸 내려앉음 후 건강 유지에 큰 도움이 된다고 권장합니다.

 

잇몸치료 후에도 음파전동칫솔을 사용해 구강 건강을 꾸준히 관리해 보세요.

저희 아버지가 잇몸이 내려앉아서 잇몸 이식수술을 했었는데 비용이 정말 어마무시... 사악했어요....ㅜㅜㅜ

그 뒤로 구강관리 하시라고 음파칫솔 선물해드리게 되었는데 진작 선물드릴껄 그랬어요.

비용은 비용대로 나가고... 지금은 잇몸 관리가 잘되어서 치과에서도 칭찬받으신대요.

추가적인 비용 지출하기 어려운 형편이라... 선물 사드린건데 잇몸건강관리에 효과 좋으신가봐요.

저희 아버지 선물해드린거 밑에 남겨드릴게요 

 

 

덴티스톰 하이브리드 음파전동 미세전류 칫솔 : 덴탈리티

[덴탈리티] 구강건강 전문가 덴탈리티

smartstore.naver.com

 

반응형

'기타' 카테고리의 다른 글

구내염 치료법 : 알보칠  (2) 2024.11.11
잇몸 염증 치료약  (0) 2024.11.11
잇몸 부었을때  (1) 2024.11.08
구강 유산균 효과  (0) 2024.11.08
잇몸 염증 고름 원인  (1) 2024.11.08